ADVERTISEMENT

Scaling Years of Buildup + Tooth Extraction — Full Video in Comments
2025/08/11
In the video area, click Skip Ad to skip ads.
Video area
Loading...
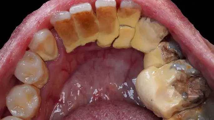
A 28-year-old woman undergoes a full dental procedure combining scaling to remove heavy tartar buildup and a tooth extraction for a damaged tooth. See the detailed process, tools used, and the dentist’s careful techniques from start to finish. Let’s watch the treatment in action…

ADVERTISEMENT

AD
news flash